Advertisement intended for health care professionals

l

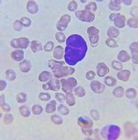
Bare megakaryocyte nuclei (naked nuclei) peripheral blood 1

Bare megakaryocyte nuclei (naked nuclei) peripheral blood 1
#00063465
Author: Mohammad Asees, MSc hematology, PhD CLS
Category: Laboratory Hematology > Basic cell morphology > Morphologic variants of platelets (cross-reference with specific diagnoses when appropriate > Micromegakaryocytes
Published Date: 04/01/2021

Bare nuclei of megakaryocytes in pheripheral blood smear of healthy man.

Done by: Mohammad Asees, MSc Hematology at professional Labs, Ramallah, Palestine

 

For any information please contact me by email: mohammad.asees@gmail.com
 


Advertisement intended for health care professionals