Advertisement intended for health care professionals

l

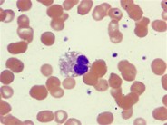
Pelger-Huet anomly

Pelger-Huet anomly
#00063469
Author: Elahe Khodadi, MSc
Category: Myeloid Disorders > Neutrophil function disorders > Pelger-Huet Anomaly
Published Date: 03/04/2021

Neutrophils show the decreased nuclear segmentation and a coarse chromatin clumping pattern.

Advertisement intended for health care professionals