Advertisement intended for health care professionals

l

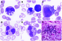
Gelatinous transformation of bone marrow

Gelatinous transformation of bone marrow
#00063472
Author: Asha Sigei, MD
Category: Infectious Disease > Viruses > Human Immunodeficiency Syndrome > Serous fat atrophy
Published Date: 04/15/2021

A 16 year old patient with no significant past medical history was referred by his primary care provider with concerns for macrocytic anemia and mild thrombocytopenia. Initial laboratory work up demonstrated normal levels of vitamin B12, folate, copper and zinc.  A bone marrow biopsy was subsequently done to rule out less common etiologies of macrocytic anemia such as myelodysplastic syndromes. The bone marrow aspirate (a) demonstrated magenta seromucinous matrix admixed with adipocytes with paucity of bone marrow elements. The bone marrow clot section (b) and bone marrow core biopsy had hypoplasia of adipocytes and deposition of extracellular gelatinous substances without reticulin fibers. These changes were accompanied by diffuse loss of hematopoietic cells. This is consistent with gelatinous transformation of the bone marrow also known as starvation marrow /serous fat atrophy. It is a benign bone marrow finding associated with malnutrition secondary to starvation, anorexia nervosa and cancer related cachexia. In our case the patient reportedly was on a very restrictive diet hence the changes in his bone marrow.

Advertisement intended for health care professionals