Advertisement intended for health care professionals

l

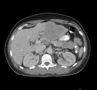
Figure 3. CT abdomen

Figure 3. CT abdomen
#00063497
Author: Jasmeet Kaur, MD,MBBS; Meharvaan Kaur
Category: Lymphoma: Mature B-cell and Plasma cell Neoplasms > Large B-cell lymphomas (not Richter transformation)
Published Date: 04/01/2021

CT Abdomen showing air showing free air in the peritoneum.


Advertisement intended for health care professionals