Advertisement intended for health care professionals

l

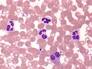
Degranulated basophils in myeloproliferative neoplasm.

Degranulated basophils in myeloproliferative neoplasm.
#00063502
Author: Feras Ally, MD; Kikkeri N Naresh, MD
Category: Myeloid Neoplasms and acute leukemia (WHO 2016) > Myeloproliferative Neoplasms (MPN) > Essential Thrombocythemia
Published Date: 04/15/2021

62-year-old female with a documented 5-year history of JAK2-positive essential thrombocythemia (ET), receiving treatment with hydroxyurea and aspirin, presented with marked fatigue, anemia and leukocytosis. The CT scan showed splenomegaly (17 cm in greatest dimension). Blood counts showed hemoglobin of 4.5 g/dL; leukocytes of 22.4X109/L with 12% circulating blasts, and platelets of 117X109/L. Karyotyping was normal and the fluorescence in-situ hybridization (FISH) studies for acute myeloid leukemia panel were negative. The molecular testing showed mutations in ASXL1 (VAF 47%), U2AF1 (VAF of 44%), STAG2 (VAF 24%), IDH2 (VAF <3%), JAK2 (VAF 3%), PTPN11 (VAF <3%) and STAG2 (VAF 4%); there was no evidence of FLT3- ITD/TKD, CEBPA or NPM1 mutations. A diagnosis of JAK-2 negative transformation/accelerated phase of myeloproliferative neoplasm was made. The patient was started therapy with decitabine and ruxolitinib. Follow-up investigations four weeks after initiation of treatment showed hemoglobin of 8.7g/dL; leukocytes of 29X109/L with 2% blasts, and platelets of 202X109/L; peripheral blood smear showed basophilia and monocytosis.  Basophils showed abnormal granulation and a large proportion of them were degranulated.  Eosinophils also showed abnormal large granules.  Bone marrow biopsy showed the marrow with excess of basophils and their precursors (18% of all cells) which was supported by flow cytometry studies, dysmegakaryopoiesis, and secondary myelofibrosis (MF3). There was also collagen deposition (grade 2-3) and osteosclerosis (grade 1). The marrow blasts were less than 2% by the manual differential count and CD34 immunohistochemical stain. Abnormal basophilic cells were documented by both flow cytometry and immunohistochemistry on the bone marrow sample.
Figures A-C from peripheral blood film highlight basophils with partial degranulation and figures D-F highlight basophils with almost complete degranulation showing near-empty granules. Figure H shows bone marrow with abnormal basophilic cells, eosinophils and dysplastic megakaryocytes, and the basophils are highlighted with CD123 (figure H). Flow cytometry showed increased basophils in the blast gate (CD45 vs side scatter plot) (I), and the basophils express bright CD123 and lack of HLA-DR expression (J).

Advertisement intended for health care professionals