Advertisement intended for health care professionals

l

Mast cell disease

Mast cell disease
#00063534
Author: Koyamangalath Krishnan MD; Purva Sharma MD; Sukesh Manthri MD; Patrick Costello MD
Category: Myeloid Neoplasms and acute leukemia (WHO 2016) > Mastocytosis > Systemic Mastocytosis (SM)
Published Date: 05/03/2021

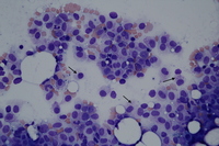
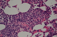
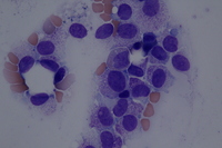
Mast cell nodular deposit in bone marrow with  mast cells showing elongated folded nuclei.


Advertisement intended for health care professionals