Advertisement intended for health care professionals

l

Therapy related myeloid neoplasm 2

Therapy related myeloid neoplasm 2
#00063541
Author: Girish Venkataraman, MD; Shruti Patil, MBBS
Category: Myeloid Neoplasms and acute leukemia (WHO 2016) > Acute Myeloid Leukemia > Therapy-related myeloid neoplasms
Published Date: 05/10/2021

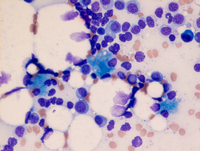
Other areas on the bone marrow aspirate showing dysplastic micromegakaryocytes with widely separated nuclear lobes. Blasts were variably increased.


Advertisement intended for health care professionals