Advertisement intended for health care professionals

l

CD25 negative ATLL

CD25 negative ATLL
#00063549
Author: Juan Ding, MD; Yanhua Wang MD
Category: Lymphoma: Mature T and NK cell lymphoproliferations > Mature T-cell Leukemias > Adult T-cell Leukemia/Lymphoma
Published Date: 06/08/2021

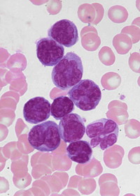
•A 61 year-old female presented with bilateral lymphadenopathy, lymphocytosis, and hypercalcemia (13.7 mg/dl). HTLV-1 serology is positive and confirmed by western blot. (a) Peripheral blood smear, Wright and Giemsa stain, (Cellavision DM image, magnification x1000) showing flower cells, a leukemic cell with multilobulated nuclei. (b-f) Flow cytometric analysis of the T lymphocytes. (b) Dot plot shows side scatter versus CD45. (c) Dot plot of CD2 versus CD7 shows 26% atypical T lymphocytes lose CD7 expression highlighted in green. (d) Dot plot of CD3 versus CD5 shows those atypical T lymphocytes express both CD3 and CD5. (e) Dot plot of CD4 versus CD8 shows those atypical T lymphocytes express both CD4 and CD8. (f) Dot plot of CD56 versus CD25 shows those atypical T lymphocytes express neither CD25 nor CD56. Base on the clinical presentation, HTLV-1 positivity, flow cytometry result, and atypical lymphocyte morphology, it is most compatible with the diagnosis of CD25 negative adult T cell leukemia/lymphoma (ATLL), co-expression CD4 and CD8.

Advertisement intended for health care professionals