Advertisement intended for health care professionals

l

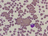
Cold agglutinin disease with LPL

Cold agglutinin disease with LPL
#00063572
Author: Ke Xu, MD
Category: Red Cell: Hemolytic Anemia (HA) > Autoimmune Hemolytic Anemias > Cold-active antibodies > Cold agglutinin disease (CAD) > Secondary CAD > Lymphoproliferative diseases
Published Date: 06/29/2021

The blood film of a patient with cold agglutinin disease secondary to lymphoplasmacytic lymphoma showing red cell agglutination and two lymphoplasmacytoid lymphocytes. 

Advertisement intended for health care professionals