Advertisement intended for health care professionals

l

Osteoblasts

Osteoblasts
#00063585
Author: Perla Vicari, MD, PhD
Category: Reactive Marrow > normal Hematopoietic cells – covered in atlas (additional examples can go here) > Osteoblasts
Published Date: 06/28/2021

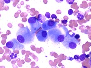
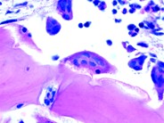
Bone Marrow Aspirate showing osteoblasts (May-Grünwald-Giemsa stain). Osteoblasts are mononucleated cuboidal cells responsible for bone formation. They originate from immature mesenchymal stem cells, which can also differentiate into chondrocytes, muscle, fat, ligaments, and tendon cells. These cells have eccentric nucleus, intensely basophilic cytoplasm and clear region equivalent to the Golgi Complex.

Advertisement intended for health care professionals