Advertisement intended for health care professionals

l

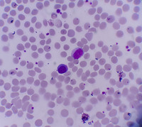
Lymphocyte

Lymphocyte
#00063668
Author: Javad Garavand
Category: Laboratory Hematology > Basic cell morphology > Morphologic variants of white blood cells > Normal lymphocyte  
Published Date: 08/20/2021

Wright's staining of normal Lymphocyte in peripheral blood smear

Advertisement intended for health care professionals