Advertisement intended for health care professionals

l

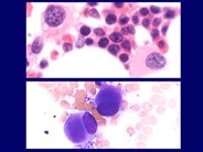
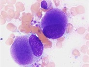
Atypical megakaryocytes

Atypical megakaryocytes
#00063678
Author: Mir Alikhan, MD
Category: Myeloid Neoplasms and acute leukemia (WHO 2016) > Myelodysplastic Syndromes (MDS) > Myelodysplastic syndrome with isolated del(5q)
Published Date: 09/10/2021

Many atypical megakaryocytes are seen characterized by small size, hypolobated or non-lobated nuclei, and often plasmacytoid appearance with eccentric nuclei. Erythropoiesis and granulopoiesis are relatively unremarkable. Blasts are not increased.

Advertisement intended for health care professionals