Advertisement intended for health care professionals

l

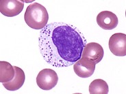
Large granular lymphocytes

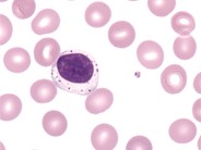
Large granular lymphocytes
#00063680
Author: Ke Xu, MD
Category: Lymphoma: Mature T and NK cell lymphoproliferations > Mature T-cell Leukemias > T-cell Large Granular Lymphocytic Leukemia
Published Date: 09/09/2021

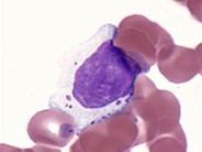
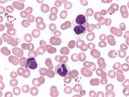
A 63-year-old male presented with chronic mild lymphocytosis. Hb 160g/L, WBC 11.3x10^9/L (neutrophil 3.05x 10^9/L lymphocyte 7.35x 10^9/L), Platelet 237x 10^9/L. Blood film showed large granular lymphocytes with abundant cytoplasm and variable number of azurophilic granules. Flow cytometry showed 62% CD3+CD2+CD4+CD5+CD7+CD56+CD57+ T lymphocytes. The CD3+4+:CD3+8+ ratio was 4.30:1.

Advertisement intended for health care professionals