Advertisement intended for health care professionals

l

Diffuse Bone Marrow Metastasis of Breast Cancer 2

Diffuse Bone Marrow Metastasis of Breast Cancer 2
#00063687
Author: Perla Vicari, MD, PhD
Category: Laboratory Hematology > Non-hematopoietic malignancies involving the blood or bone marrow > Metastatic Carcinoma
Published Date: 09/09/2021

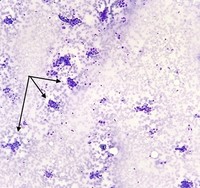
Bone marrow aspirate from a woman with metastatic breast adenocarcinoma showing group of oval neoplastic cells with large hyperchromatic nuclei, coarse chromatin, modest granular cytoplasm, and occasionally small nucleoli (x1000, May-Grünwald-Giemsa stain).


Advertisement intended for health care professionals