Advertisement intended for health care professionals

l

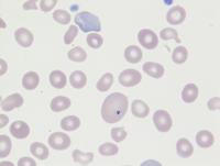
Pappenheimer bodies

Pappenheimer bodies
#00063696
Author: Perla Vicari, MD, PhD
Category: Laboratory Hematology > Basic cell morphology > Red cell inclusions and abnormalities > Pappenheimer bodies  
Published Date: 08/31/2021

Peripheral blood smear showing Pappenheimer bodies located peripherally in the erythrocyte (arrow): abnormal basophilic granules of iron found inside red blood cells on routine blood stain (Wright-Giemsa stain).

Advertisement intended for health care professionals