Advertisement intended for health care professionals

l

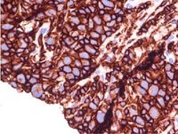
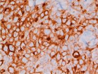
GZL CD-20

GZL CD-20
#00063802
Author: Arun Ravi; Girish Venkataraman, MD, MBBS
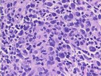
Category: Lymphoma: Mature B-cell and Plasma cell Neoplasms > Large B-cell lymphomas (not Richter transformation) > B-cell lymphoma unclassifiable with features intermediate between DLBCL and cHL
Published Date: 10/19/2021

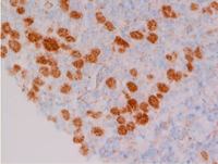
There is some variable positivity for CD20 staining in the large malignant cells.


Advertisement intended for health care professionals