Advertisement intended for health care professionals

l

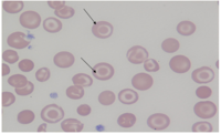
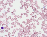
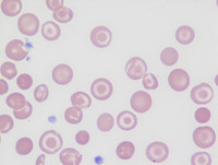
Target Cells

Target Cells
#00063812
Author: Payal Bargujar, Ankur Kumar Gupta, Kapil Garg; SMS Medical College Jaipur, India
Category: Laboratory Hematology > Basic cell morphology >  Red Blood Cell shape abnormalities > Target cells
Published Date: 10/22/2021

A peripheral blood smear of a 5 year-old boy, who is suffering from beta-thalassemia major illustrating multiple target cells. Target cells, or codocytes, or bell cells, are characterized by increased cell membrane to cell volume ratio. Either reduced cell volume or gain of membrane lipids is responsible for typical bull’s eye appearance of these red cells, having clustering of intensely staining hemoglobin around the periphery and in the center of the cells.

Other than beta-thalassemia, these cells may be seen in patients with liver diseases, obstructive jaundice, hemoglobin C and E disease, hereditary deficiency of lecithin-cholesterol acyl transferase (LCAT), sickle cell disease, following splenectomy, and infrequently in iron deficiency. Technically improper slide preparation can have artifactual target cells, which are generally irregularly distributed. Hence proper history and physical examination, peripheral blood smear examination, liver enzymes and hemoglobin electrophoresis are important tools in diagnosing the cause for target cells.

Advertisement intended for health care professionals