Advertisement intended for health care professionals

l

Chronic Myeloid Leukemia with Sanjad Sakati syndrome

Chronic Myeloid Leukemia with Sanjad Sakati syndrome
#00063817
Author: Tariq A. Salih, Consultant Adult haematologist
Category: Myeloid Neoplasms and acute leukemia (WHO 2016) > Myeloproliferative Neoplasms (MPN) > Chronic Myelogenous Leukemia (CML), BCR-ABL1+ > Chronic phase
Published Date: 10/25/2021

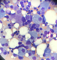
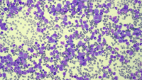
A 34 years old male with a history of congenital anomaly, Sanjad Sakati syndrome, presented to Baghdad Hematology center in March 2019 with increasing fatigue, pallor for the last month, investigations showed WBC count 307 * 103/ml, Hb 8.4 g/dl, platelets 860 * 103/ml, blood film showed a double peak of neutrophil and myelocyte with basophilia, the picture goes with a myeloproliferative neoplasm, and accordingly, a bone marrow examination showed a markedly hypercellular marrow with granulocytic hyperplasia; myeloid to erythroid ratio 32:1, cytogenetic study (FISH study) showed detected t(9;22) Philadelphia chromosome 97%, with normal renal, liver function tests, LDH more than double normal level 757 U/L, with a strikingly low s.calcium level that needed to repeat it many times mean was 3.7 mg/ dl.

Abdominal ultrasonography showed hydronephrosis of both kidneys, with normal ECG and ECHO study.

On inquiry about his past medical history the patient complains started at infantile age with repeated tonic-clonic convulsion, diagnosed with congenital hypoparathyroidism, and started on calcium and one alpha, the patient had a subnormal intellectual performance at school age, he underwent many surgical interventions during his lifetime, one at the age of 22 for Achilles tendon release and other at age of 28 for undescended testes and other at age of 32 for his eyes.

On examination, the patient has a poor mentality, dysmorphic features (short stature, deformed external ears, deep-seated eyes, abnormal teeth with dental caries, small hands, and feet, scars for orchiopexy; Achilles tendon lengthening) other systemic examination including the cardiovascular system was normal and no similar condition was found in other family members.

The patient was labeled as a case of Chronic Myeloid Leukemia in the chronic phase and started on Imatinib mesylate capsule 400 mg/day along with allopurinol tab 300 mg/day.

Forty days later the patient presented with shortness of breath, swelling of both feet, ECG showed a low voltage pattern, CXR showed cardiomegaly with a global shaped heart; ECHO study showed a large circumferential pericardial effusion, right atrium collapse, and cardiac tamponade, the patient urgently admitted to cardiac care unit for pericardiocentesis, then  5 days later the patient discharged back to our hematology ward, new ECHO study on 12.5.2019 showed moderate pericardial effusion, we stopped Imatinib and started diuretics, calcium and albumin, unfortunately, the patient passed away a week later.

Advertisement intended for health care professionals