Advertisement intended for health care professionals

l

NK Cell Lymphoma/Leukemia with Strong p53 Expression

NK Cell Lymphoma/Leukemia with Strong p53 Expression
#00063877
Author: Fahad N Sheikh, M.D.; Yanhua Wang, M.D.
Category: Lymphoma: Mature T and NK cell lymphoproliferations > EBV+ T- and NK-cell lymphoproliferations > Extranodal NK and T-cell Lymphoma
Published Date: 12/10/2021

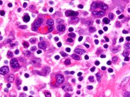
A 51-year-old man with stage IV NK/T cell lymphoma status-post autologous stem cell transplant presented with fevers, right upper quadrant abdominal pain, and transaminitis. (A) Flow cytometry identified a population of abnormal cells that were positive for CD45, CD2, CD7, CD8, and CD56, and negative for sCD3, CD4, CD5, CD16, CD25, CD57, alpha beta TCR, and gamma delta TCR (data not shown). (B) Hematoxylin and eosin stain (40X) of the bone marrow demonstrated variable cellularity (40-50%) consisting of NK/T cell lymphoma cells involving 80-90% of the overall cell population. Morphologically, there was a diffuse infiltrate of medium to large atypical lymphoid cells with vesicular nuclear chromatin, occasional prominent nucleoli, high nuclear to cytoplasmic ratios, and variable cytoplasm, with scattered occasional apoptotic bodies. Immunohistochemistry (at 40X) demonstrated that the lymphoid cells were positive for P53 (C), CD2, CD3, CD8, CD7, and CD56, and negative for CD4, CD5, CD20, CD30, CD34, CD57, CD117, and LMP-1. Overall, the above immunophenotypes and histomorphology were compatible with NK cell lymphoma with aberrant expression of P53.

Advertisement intended for health care professionals