Advertisement intended for health care professionals

l

A case of B acute lymphoblastic leukemia/lymphoma with unusual immunophenotypes

A case of B acute lymphoblastic leukemia/lymphoma with unusual immunophenotypes
#00063892
Author: Ukuemi Edema, MD; ​Yanhua Wang, MD, PhD
Category: Myeloid Neoplasms and acute leukemia (WHO 2016) > Precursor Lymphoid Neoplasms > B-lymphoblastic leukemia/lymphoma > B-Lymphoblastic Leukemia/Lymphoma, not otherwise specified
Published Date: 12/09/2021

 A 11- year-old male who initially presented with back pain. CT of the abdomen and pelvis with IV contrast study showed numerous renal masses bilaterally, two small liver lesions; one in the right lobe and the second in the left lower lobe and extensive bone involvement which was also visualized on the MR examination. He was slightly anemic (Hb 10.6g/dL); his WBC (6.1k/uL) and platelet count (276k/uL) were within normal limits before the biopsy. ​

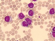
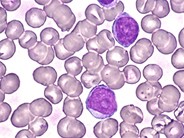
· Renal needle core biopsy was performed which showed in A: (HE, 40X) small blue neoplastic cells infiltrating between the renal tubules. The neoplastic cells were negative for CD45 (B, 40x, and inset of the flow cytometry histogram gated on CD45- cells showed cells were CD10+, CD19-). The neoplastic cells were positive for CD43 (C, 40X), negative for CD19 (D, 40X), positive for CD10 (E, 40X), renal tubule is also highlighted by CD10. The neoplastic cells were negative for CD34 (F, 40x), positive for PAX5 (G, 40X), TdT (H, 40X), CD79a (not shown) and CD99 (not shown); negative for CD20, surface immunoglobulin light chains and other lymphoid or myeloid markers. ​

· Iliac bone marrow biopsy was subsequently performed showing minimal leukemic involvement. Overall, this is a B acute lymphoblastic leukemia/lymphoma with unusual immunophenotypes.

Advertisement intended for health care professionals