Advertisement intended for health care professionals

l

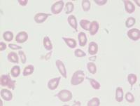
Teardrop cells

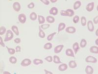
Teardrop cells
#00063903
Author: Perla Vicari, MD, PhD
Category: Laboratory Hematology > Basic cell morphology >  Red Blood Cell shape abnormalities > Teardrop cells
Published Date: 12/13/2021

Peripheral blood smear from a patient with bone marrow fibrosis shows numerous teardrop-shaped red cells or dacrocytes (arrows), May-Grünwald-Giemsa stain.

Advertisement intended for health care professionals