Advertisement intended for health care professionals

l

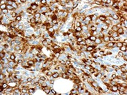
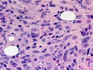
Acute Megakaryoblast Leukemia

Acute Megakaryoblast Leukemia
#00063906
Author: Perla Vicari, MD, PhD
Category: Myeloid Neoplasms and acute leukemia (WHO 2016) > Acute Myeloid Leukemia > AML not otherwise specified > Acute megakaryoblastic leukemia
Published Date: 12/13/2021

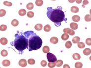
Peripheral blood smear from a patient with Acute Megakaryoblast Leukemia shows megakayroblasts (arrows) with basophilic granular appearance, pseudopod (or pseudoblebs) formation and cytoplasmic projections resembling budding atypical platelets (May-Grünwald-Giemsa stain).

Advertisement intended for health care professionals