Advertisement intended for health care professionals

l

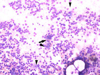
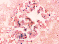
Figure c. Bone marrow aspirate smear 100X, Giemsa stain showing Gaucher like cell in AML.

Figure c. Bone marrow aspirate smear 100X, Giemsa stain showing Gaucher like cell in AML.
#00063991
Author: Dr. Mamta Soni; Dr. Supraja S; Dr. Gayathri K
Category: Myeloid Neoplasms and acute leukemia (WHO 2016) > Acute Myeloid Leukemia
Published Date: 04/20/2022

Gaucher like cell in AML.


Advertisement intended for health care professionals