Advertisement intended for health care professionals

l

Histiocytic Sarcoma

Histiocytic Sarcoma
#00063995
Author: Kavita Umrau, MBBS
Category: Macrophage/Histiocytic and dendritic cell Neoplasms and disorders (2015) > M group > Primary Malignant Histiocytosis
Published Date: 04/20/2022

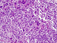
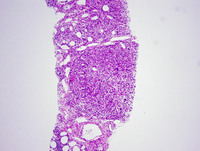
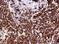
Histologic sections show fragments of hepatic parenchyma with a diffuse proliferation of large epithelioid mononuclear cells with moderately pleomorphic indented/folded nuclei, vesicular chromatin, conspicuous nucleoli, and abundant eosinophilic cytoplasm with occasional vacuolization. Focal necrosis, frequent apoptosis, and mitotic figures are also seen. By immunohistochemistry, the neoplastic cells express CD4, CD11c, CD33, CD45 (weak), CD68, CD163, and Lysozyme. Ki67 proliferation index is approximately 60%.

Advertisement intended for health care professionals