Advertisement intended for health care professionals

l

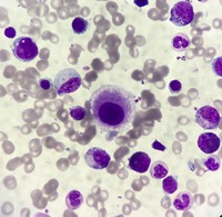
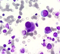
MDS Del-5q 5

MDS Del-5q 5
#00064042
Author: Rakesh Pimpaldara, MD,MBBS; Vipul Prajapati, MD,MBBS; Javed Sheikh, MD,MBBS; Meenu Angi, MD,MBBS
Category: Myeloid Neoplasms and acute leukemia (WHO 2016) > Myelodysplastic Syndromes (MDS) > MDS with Ring Sideroblasts (MDS-RS) > MDS-RS with multilineage dysplasia
Published Date: 05/31/2022

MDS del 5q marrow morphology of megakaryocytes. Increased megakaryocytes with predominantly monolobated/hypolobated megakaryocytes


Advertisement intended for health care professionals