Advertisement intended for health care professionals

l

Copper and vacuolations

Copper and vacuolations
#00064060
Author: Abhishek Dashora, MD,FRCPath; Kathryn Foucar, MD
Category: Red Cell: Disorders of Iron Metabolism and Heme Synthesis > Sideroblastic anemias > Acquired/Reversible Sideroblastic Anemias > Copper deficiency
Published Date: 06/07/2022

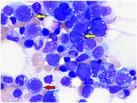
The patient is a 2 year old male with microvillus inclusion disease on total parenteral nutrition.  He experienced new onset pancytopenia.  WBC 2.5 (ANC 0.5), H/H 9.6/27, and plt 62.

Bone marrow aspirate showing prominent cytoplasmic vacuolation in erythroid precursors.

This finding could also be seen in myelodysplastic syndrome, Pearson syndrome and acute alcoholic intoxication; hence a clinico-pathological correlation is essential.  

Advertisement intended for health care professionals