Advertisement intended for health care professionals

l

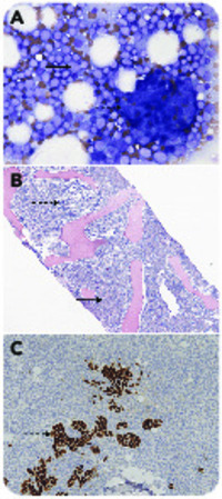
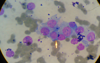
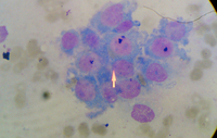
Myelopthisic bone marrow due to carcinoma

Myelopthisic bone marrow due to carcinoma
#00064091
Author: Martin Pacheco, MD; Eleazar Hernandez Ruiz, MD; Diego Barbosa, MD; Andrea Rivera, MD; Olga Merida, MD
Category: Laboratory Hematology > Non-hematopoietic malignancies involving the blood or bone marrow > Metastatic Carcinoma
Published Date: 09/06/2022

A patient was refered for evaluation due to metastatic lytic bone lesions and a suspected diagnosis of multiple myeloma. Initial laboratory results revealed anemia, hypercalcemia, and an elevated creatinine. Bone marrow aspiration and biopsy was perfomed, which revelaed infiltration by pleomporphic clumped cells with singet-ring appareance, hyperchromatic nucleous and cytoplasm. Further evaluation showed the presence of a gastric neoformation and a positive CK20 in immunohistochemistry of the bone marrow. 

Advertisement intended for health care professionals