Advertisement intended for health care professionals

l

Hemophagocytic Lymphohistiocytosis 1

Hemophagocytic Lymphohistiocytosis 1
#00064113
Author: Frederico Lisboa Nogueira
Category: Macrophage/Histiocytic and dendritic cell Neoplasms and disorders (2015) > H group > Secondary HLH (non-Mendelian)
Published Date: 09/06/2022

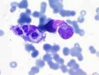
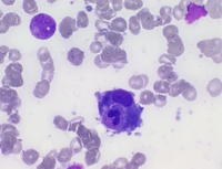
Bone marrow smear (May Grunwald-Giemsa stain, 1000x) shows histiocytes engulfing bone marrow cells, a typical finding of Hemophagocytic Lymphohistiocytosis (HLH)


Advertisement intended for health care professionals