Advertisement intended for health care professionals

l

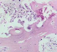
Osteoblast rimming

Osteoblast rimming
#00064127
Author: Deepika V DNB, PDF Oncopath, ADL
Category: Red Cell: Other Disorders > Bone/metabolic disease > Anemia of renal osteodystrophy
Published Date: 10/18/2022

61yr old lady, a known case of chronic kidney disease, presenting with pancytopenia.


Advertisement intended for health care professionals