Advertisement intended for health care professionals

l

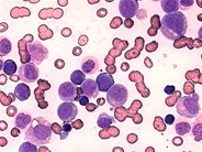
t(8;21) AML Blast

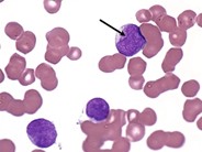
t(8;21) AML Blast
#00064130
Author: Deepika V, DNB, PDF Oncopath, ADL
Category: Myeloid Neoplasms and acute leukemia (WHO 2016) > Acute Myeloid Leukemia > Acute Myeloid Leukemia with recurrent genetic abnormalities > AML with t(8;21)(q22;q22); RUNX1-RUNX1T1
Published Date: 10/18/2022

Myeloid blast with single, slender auer rod and perinuclear halo, characteristically seen in t(8;21) AML. Adjacent myeloid series cell shows hypogranular cytoplasm (dyspoietic feature).

This is a 26 yr old gentleman, who presented with bicytopenia, hepatosplenomegaly and raised LDH levels

Advertisement intended for health care professionals