Advertisement intended for health care professionals

l

Drug-induced acanthocytosis 1

Drug-induced acanthocytosis 1
#00064159
Author: Alex Heimbigner, MD; Deborah Fuchs, MD
Category: Laboratory Hematology > Basic cell morphology >  Red Blood Cell shape abnormalities > Acanthocytes
Published Date: 10/18/2022

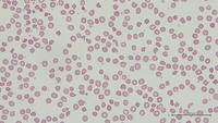
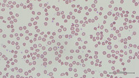
The patient is a 74-year-old female with history of lung adenocarcinoma metastatic to brain and spine, with a history of chemoradiation therapy including current treatment with alectinib, who was seen by hematology for evaluation of worsening normocytic anemia for 6 months. Other relevant history includes vitamin B12 deficiency and chronic kidney disease. A complete blood count showed a total WBC count of 4.2 K/uL, hemoglobin of 8.9 g/dL, MCV of 94 fL, and platelets of 237 K/uL. Biochemical investigations revealed normal iron studies and a slightly decreased haptoglobin level of 41 mg/dL.

A peripheral blood smear with pathologist review was performed to rule out a hemolytic anemia.

The red blood cells were normocytic and normochromic, and were notable for numerous acanthocytes and occasional echinocytes and spherocytes with no increase in schistocytes. The only finding of significance in the white blood cells was neutrophil hypersegmentation consistent with the history of vitamin B12 deficiency, and platelets were normal in morphology. For this patient, the prominent acanthocytosis was attributed to her alectinib treatment. Alectinib is an anaplastic lymphoma kinase (ALK) inhibitor which is considered a standard initial treatment for patients with advanced ALK-rearranged non-small cell lung cancers. Multiple studies (1,2) have shown that nearly all patients studied who were treated with alectinib developed marked acanthocytosis, echinocytosis, and/or spheroacanthocytosis. This phenomenon occurs early in the treatment course and is generally associated with subclinical hemolysis rather than hemolytic anemia (1). The cause is unknown; while it is speculated that the mechanism is ALK-dependent, this acanthosis is not seen in other ALK inhibitors (2). One study (2) found that the onset of the spheroacanthocytosis appears to be associated with a gradual reduction in eosin-5-maleimide binding within the first 1-2 months of treatment, which may mimic an abortive form of hereditary spherocytosis. These changes did not show any association with disease-free survival under alectinib or molecular features (i.e, the ALK fusion variant or TP53​ status). Notably, findings are reversible when the patient is switched to an alternative ALK inhibitor. Overall, the discovery of new, prominent acanthocytosis and/or spherocytosis in a patient with an advanced ALK-rearranged non-small cell lung cancer is likely attributable to alectinib therapy and is likely to be associated with mild anemia and subclinical hemolysis.

  1. Kunz J, Wiedemann C, Grosch H, et al. "Early development of ubiquitous acanthocytosis and extravascular hemolysis in lung cancer patients receiving alectinib." Cancers (Basel) 2022 May; 14(11): 2720.
  2. Kuzich JA, Heynemann S, Geoghegan N, et al. "Alectinib induces marked red cell spheroacanthocytosis in a near-ubiquitous fashion and is associated with reduced eosin-5-maleimide binding." Pathology. 2021;53(5):608–12.


Advertisement intended for health care professionals