Advertisement intended for health care professionals

l

Panel-B, 40X, Cells are large with large pleomorphic nucleus, abundant clear to pink cytoplasm and inconspicuous nucleoli

Panel-B, 40X, Cells are large with large pleomorphic nucleus, abundant clear to pink cytoplasm and inconspicuous nucleoli
#00064163
Author: Ananya Datta Mitra, MD; Denis M Dwyre
Category: Myeloid Neoplasms and acute leukemia (WHO 2016) > Myelodysplastic Syndromes (MDS) > MDS with Ring Sideroblasts (MDS-RS) > MDS-RS with multilineage dysplasia
Published Date: 10/18/2022

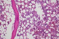
Panel A, 10X: Focal area of epithelioid cells in bone marrow core biopsy

Panel-B, 40X, Cells are large with large pleomorphic nucleus, abundant clear to pink cytoplasm and inconspicuous nucleoli

Panel-C, 10X: Pancytokeratin (AE1/AE3)

Panel-D, 40X: Higher power image of AE1/AE3 showing dot-like cytoplasmic staining

Panel-E, 10X: CD163

Panel-F, 40X: Higher power image of CD163 showing membranous staining

Panel-G,100X:Oil immersion image of CD163 showing membranous staining

Panel-H, 40X: Myeloperoxidase

Panel-I, 40X: Lysozyme

Panel-J, 40X: CD34


Advertisement intended for health care professionals