Advertisement intended for health care professionals

l

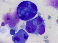
infiltrated plasma cell in pleural fluid 2

infiltrated plasma cell in pleural fluid 2
#00064173
Author: Xinli Zhang
Category: Lymphoma: Post-transplant Lymphoproliferative Disorder > Monomorphic Post-transplant Lymphoproliferative Disorder > B-cell Neoplasms > Plasmacytoma
Published Date: 10/18/2022

The pleural fluid of a female patient diagnosed with multiple myeloma shows giant abnormal plasma cells.


Advertisement intended for health care professionals