Advertisement intended for health care professionals

l

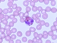
Chediak-Higashi syndrome- Platelet

Chediak-Higashi syndrome- Platelet
#00064190
Author: Geraldine Alejandro; Peter Maslak
Category: Laboratory Hematology > Basic cell morphology > Morphologic variants of white blood cells > Chediak-Higashi Syndrome  
Published Date: 10/18/2022

Hpergranulated platelets may also be seen in the peripheral blood.


Advertisement intended for health care professionals