Advertisement intended for health care professionals

l

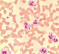
Lymphocytic Platelet Satellitism

Lymphocytic Platelet Satellitism
#00064295
Author: Dr.Zahraa Akram Thabit/Hematopathologist; Dr.Bassam Francis Matti/Consultant Hematologist
Category: Laboratory Hematology > Basic cell morphology > Morphologic variants of platelets (cross-reference with specific diagnoses when appropriate > Platelet aggregates and satellitosis
Published Date: 04/24/2023

A 70 year-old man was evaluated for thrombocytopenia without any other hematologic abnormalities. Examination of the peripheral blood smear revealed platelets rosetting around lymphocytes indicating pseudothrombocytopenia. Platelet satellitism around neutrophils is well recognized and is attributed to EDTA and its activation of platelets. This phenomenon has rarely been reported to occur with lymphocytes and lead to pseudothrombocytopenia, such as the example demonstrated here.

Advertisement intended for health care professionals