Advertisement intended for health care professionals

l

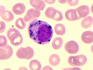
Phagocyting neutrophils in peripheral blood

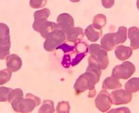
Phagocyting neutrophils in peripheral blood
#00064350
Author: Najmaldin Saki Ph.D; Bita Bandar M.Sc; Mohammad Amin Vahid M.Sc; Ehsan Sarbazjoda M.Sc
Category: Laboratory Hematology > Basic cell morphology > Morphologic variants of white blood cells > Phagocytosed material
Published Date: 03/20/2023

The case is a 65 year-old male patient with diagnosis of Adenocarcinoma and under chemotherapy treatment.


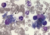
Patient has bacteremia and his peripheral blood smear shows gram negative cocobacilli among the red blood cells. Neutrophils that are phagocyting cocobacillus can be sighted;(magnification ×100).


PBS examination shows 6% Band cells(shift to the left) and 2+ Toxic granulation. The serum CRP level is also considered high(101.4 mg/L).

Advertisement intended for health care professionals