Advertisement intended for health care professionals

l

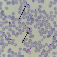
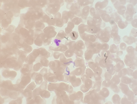
Trypanosoma rhodesiense

Trypanosoma rhodesiense
#00064375
Author: Ke Xu, MD; Robert Hay
Category: Infectious Disease > Parasites > Trypanosomes
Published Date: 03/10/2023

The blood film of a patient with Trypanosoma rhodesiense infection showing that the parasites are serpentine with a small kinetoplast. 

Advertisement intended for health care professionals