Advertisement intended for health care professionals

l

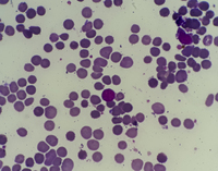
Microspherocytes

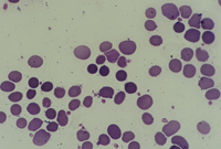
Microspherocytes
#00064402
Author: Najmaldin Saki Ph.D; Bita Bandar M.Sc
Category: Laboratory Hematology > Basic cell morphology >  Red Blood Cell shape abnormalities > Spherocytes
Published Date: 03/24/2023

Peripheral blood smear of a newborn diagnosed with ABO incompatibility and positive direct coombs test shows increased spherocytes and microspherocytes. Spherocyte formation occurs due to a partial loss of the red blood cell membrane leading to a decrease in the surface to volume ratio of the red blood cell.

Conditions associated with spherocytosis include hereditary spherocytosis, autoimmune hemolytic anemia, drug -induced immune hemolytic anemia, allo-immune-mediated hemolysis (transfusion reactions, hemolytic disease of the fetus and newborn), glucose-6-phosphate (G6PD) deficiency, transfused cells or severe burns.

Advertisement intended for health care professionals