Advertisement intended for health care professionals

l

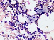
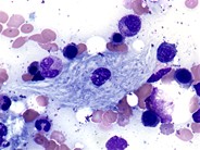
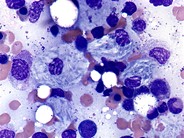
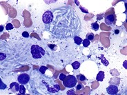
Gaucher's disease

Gaucher's disease
#00064405
Author: Najmaldin Saki PhD; Mohammad Amin Vahid M.Sc; Ehsan Sarbazjoda M.Sc
Category: Myeloid Disorders > Lysosomal storage disorders > Gaucher
Published Date: 03/24/2023

Gaucher cells and Megacaryocytes can be seen in the bone marrow aspiration of a patient suffering from Gaucher disease.

Advertisement intended for health care professionals