Advertisement intended for health care professionals

l

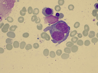
Hodgkin Cell

Hodgkin Cell
#00064458
Author: Ana Rebelo, MD; Carla Saraiva de Carvalho, PHD
Category: Lymphoma: Hodgkin Lymphoma > Classical Hodgkin Lymphoma
Published Date: 04/24/2023

Large mononuclear cell, May-Grunwald-Giemsa, 1000 × magnification


Advertisement intended for health care professionals