Advertisement intended for health care professionals

l

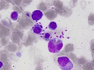
Leishman body

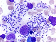
Leishman body
#00064474
Author: Zeinab Eftekhar M.Sc
Category: Infectious Disease > Parasites > Leishmania
Published Date: 05/04/2023

Leishmania are dimorphic protozoan parasites that live as flagellated forms in the gut of their sandfly vector and as aflagellated forms in their mammalian hosts.a leishman body can be seen in this figure

Advertisement intended for health care professionals