Advertisement intended for health care professionals

l

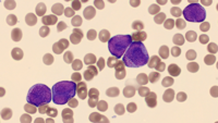
Blood smear with hypergranular blasts

Blood smear with hypergranular blasts
#00064709
Author: Luiz Arthur Leite, PhD
Category: Laboratory Hematology
Published Date: 09/10/2025

Acute promyelocytic leukemia with PML::RARA


Advertisement intended for health care professionals