Advertisement intended for health care professionals

l

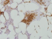
Mast cell in Bone Marrow Aspiration

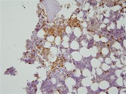
Mast cell in Bone Marrow Aspiration
#00064964
Author: Davood Bashash; Amir-Mohammad Yousefi; Bahareh Bashiri; Zahra Ghorbani
Category: Myeloid Neoplasms and acute leukemia (WHO 2016) > Mastocytosis
Published Date: 04/02/2024

Bone marrow aspirate reveals normal mast cells when stained with May-Grünwald-Giemsa. These mast cells are characterized by their oval or irregular shape and possess a single central nucleus. The nucleus contains densely packed peripheral chromatin. The majority of the cytoplasm is occupied by cytoplasmic granules, which consist of small secretory granules ranging in size from 0.2 to 0.8 micrometers, as well as a few secondary lysosomes. Additionally, the cells exhibit small, finger-like projections extending from the cell membrane. In certain cells, the granules may be dense enough to obscure the visibility of the nucleus. While mast cells share similarities with basophils, their mononuclear morphology and monoclonal antibodies allow for their differentiation.

Advertisement intended for health care professionals