Advertisement intended for health care professionals

l

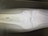
Lytic bone lesions with sclerosed margins 1

Lytic bone lesions with sclerosed margins 1
#00065020
Author: Dr.Bilal Kazi MD,DM; Dr.Anupam Chakrapani MD,DM; Dr.Sudhanya Biswas MD
Category: Macrophage/Histiocytic and dendritic cell Neoplasms and disorders (2015) > L group > Langerhans cell histiocytosis (LCH)
Published Date: 09/10/2025

The patient also had complaints of multiple bone pains. X-Ray of lower limbs showed multiple lytic bone lesions with sclerosed margins.


Advertisement intended for health care professionals