Advertisement intended for health care professionals

l

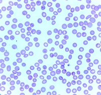
Ring form of Plasmodium falciparum

Ring form of Plasmodium falciparum
#00065343
Author: SHAUN BHARDWAJ
Category: Infectious Disease > Parasites > Malaria > P. falciparum
Published Date: 10/16/2024

The ring form of Plasmodium falciparum is the early trophozoite stage, typically observed in peripheral blood smears of individuals infected with malaria. It appears as a delicate, thin ring within the red blood cell (RBC), with a central vacuole resembling a ring or a signet ring. The nucleus is small and stained purple, while the cytoplasm is pale blue, often adhering to the RBC membrane. 

 

Multiple ring forms may be present in a single RBC, a distinguishing feature of P. falciparum infection which can be clearly seen in this Image.

Advertisement intended for health care professionals