Advertisement intended for health care professionals

l

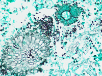
Invasive Aspergillosis in bone marrow - PAS stain 2

Invasive Aspergillosis in bone marrow - PAS stain 2
#00065382
Author: Dr Ankita Jaiswal
Category: Infectious Disease > Fungi > Aspergillus
Published Date: 10/16/2024

Periodic Acid Schiff stain showing septate fungal hyphae and conidia (PAS, 400x)


Advertisement intended for health care professionals