Advertisement intended for health care professionals

l

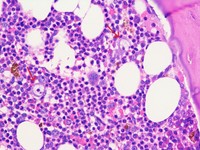
Giant Proerythroblast showing dog ear-like cytoplasmic pseudopodia (due to Parvovirus B19) with Pure red cell aplasia, Bone marrow aspiration

Giant Proerythroblast showing dog ear-like cytoplasmic pseudopodia (due to Parvovirus B19) with Pure red cell aplasia, Bone marrow aspiration
#00065531
Author: Ankita Jaiswal, PDCC Hematopathology, MD Pathology
Category: Infectious Disease > Viruses > Parvovirus B19
Published Date: 03/19/2025

Giemsa stained bone marrow aspirate shows early/ basophilic Giant Proerythroblast. These are large, 25-35 micron in size, round nuclei, opened up chromatin with intranuclear inclusion. They have moderate amount of deeply basophilic cytoplasm with 'dog ear-like' cytoplasmic psuedopodia.


Advertisement intended for health care professionals