Advertisement intended for health care professionals

l

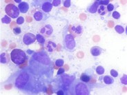
CMML associated secondary HLH

CMML associated secondary HLH
#00065546
Author: Ke Xu, MD
Category: Reactive Marrow > Reactive changes > Histiocytes
Published Date: 05/06/2025

A patient with CMML developed progressive cytopenia. Bone marrow smear showed frequent hemophagocytosis arrowand monocytosis.

Advertisement intended for health care professionals