Advertisement intended for health care professionals

l

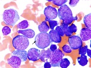
AML with NUP98::HOXA13 fusion and FLT3-ITD

AML with NUP98::HOXA13 fusion and FLT3-ITD
#00065553
Author: Ke Xu, MD
Category: Myeloid Neoplasms and acute leukemia (WHO 2016) > Acute Myeloid Leukemia > Acute Myeloid Leukemia with recurrent genetic abnormalities
Published Date: 05/06/2025

A 65-year-old male presented with a high white cell count (216x109/L). The blood film showed myelomonocytic blasts, many with cup-shaped nuclear morphology, occasionally with Auer rods. Flow cytometry identified 90% CD34+, CD117+, CD33+, CD13+, CD15wk, CD11b+, CD18+, MPO+ blasts. Myeloid NGS identified FLT3-ITD and NUP98::HOXA13 N16H2 fusion. He was treated with daunorubicin cytarabine midostaurin, high-dose cytarabine midostaurin and allogeneic stem cell transplantation to MRD-negative remission. AML with NUP98 rearrangement is associated with a poor prognosis. Patients who have FLT3-ITD have much worse outcomes. Here, we report a case of AML with NUP98::HOXA13 fusion and FLT3-ITD, who was successfully treated with allogeneic stem cell transplantation.

Advertisement intended for health care professionals