Advertisement intended for health care professionals

l

Spur Cell Anemia 1

Spur Cell Anemia 1
#00065682
Author: Leah A. Goldberg, MD,MHS; Evan W. Neczypor, MD; Newsha Nikzad, MD; Sara Kim, MD; Yael Wollstein,MD; Kenneth Cohen,MD; Vineet Arora,MD; Girish Venkataraman, MD
Category: Underproduction Anemias
Published Date: 10/14/2025

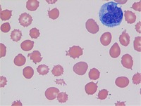
Peripheral blood smear shows prominent acanthocytes, with “spikey” projections emerging from their surface membrane. Presence of multiple acanthocytes is characteristic for spur cell anemia.  

 

CT Abdomen Pelvis demonstrating hepatosplenomegaly consistent with cirrhosis physiology


Advertisement intended for health care professionals